Experience the future of connected dentistry: Each event showcases industry-leading education, cutting-edge advancements, renowned thought-leaders and unrivalled networking opportunities.
Experience the future of connected dentistry: Each event showcases industry-leading education, cutting-edge advancements, renowned thought-leaders and unrivalled networking opportunities.
Our sustainability strategy is fundamental to our mission and is integral to everything we do.
Relaxed and pleasant procedures are equally important for everyone, the patients and the staff alike. It is satisfying and motivating when everything goes according to plan and things go smoothly. The use of Orthophos or Axeos with Sidexis 4 provides you with targeted support. The X-ray systems are simple to use, yet unique in their diagnosis possibilities.. This ensures that every aspect of the treatment process creates a positive experience.
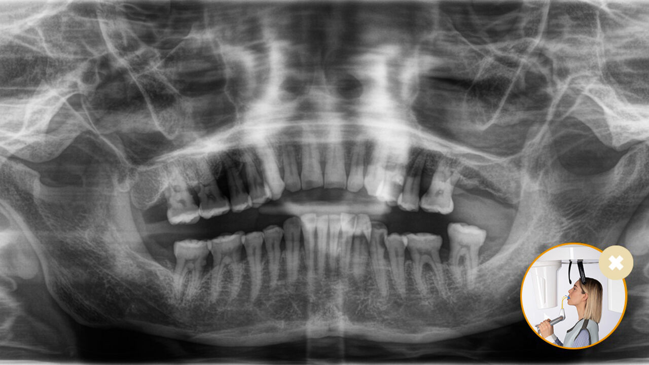
Correct patient positioning leads to high image quality to support an accurate diagnosis and facilitates and improves patient experience.
This is our 10-point concept for easy patient positioning and X-ray imaging. It is primarily about two things: high image quality and comfort for the patient and the assistant.
1. The EasyPad allows you the ability to pivot and tilt the touch display and also provides intuitive program selection
2. The smart height adjustment allows the preparation of the X-ray unit before the patient arrives
3. Unique Autopositioner automatically determines the correct head tilt
4. The X-ray area can be easily adapted using the universal bite block, which allows for modification on an individual patient-to-patient basis
5. Motorized, adjustable headrest with automatic stop at the patient’s head and automatic opening at the end of image capture
6. Based on the automatic temple width measurement the device rotation adjusts to each individual patient
7. Automatic spine compensation for better panorama image quality in the anterior region
8. Light lines for easy visibility of the volume
9. Integrated swivel mirror supports proper patient positioning
10. Ergonomic handles to support stable patient positioning
The operation of the occlusal bite block couldn't be simpler. With the help of the symbols and colors on the display of the X-ray device, practitioners have all the information required for optimal fine-tuning of the device. Illuminated arrows indicate in which direction the unit must be moved to achieve ideal head inclination. The device stops automatically once the correct position has been reached.
"Thanks to the Auto-Positioner, waiting times are reduced."
Dr. Stamnitz & Kollegen, Langen, Germany
Find out more about the X-ray Solutions from Dentsply Sirona and request information on intraoral X-ray, software or 2D and 3D imaging technology.