Orthophos S from Dentsply Sirona

Benefits

Why choose the Orthophos S?

Sharp and autofocused images

Even in anatomically difficult cases with the 2D CsI sensor with autofocus function

Selectable volume sizes

From Ø 5 cm x 5.5 cm to 8 cm x 8 cm or optional up to 11 cm x 10 cm

An optional cephalometric arm

The ceph arm can be added on the right or left side of the unit and ordered at the time of purchase or retrofitted at any time

Maximum consistency and Easy reproducibility

Thanks to automatic patient positioning with the patented occlusal bite block

3D according to your needs

With the 3D Intelligent Low Dose mode, you get 3D images in the dose range of a 2D X-ray. In HD mode (up to 1,400) individual images are captured during a single rotation and converted into a 3D volume with up to 80 μm for low-noise images in high resolution.

Safe and proven patient positioning

With motorized temple and forehead supports, automatic temple width measurement, light localizers and integrated handles for additional positioning stability

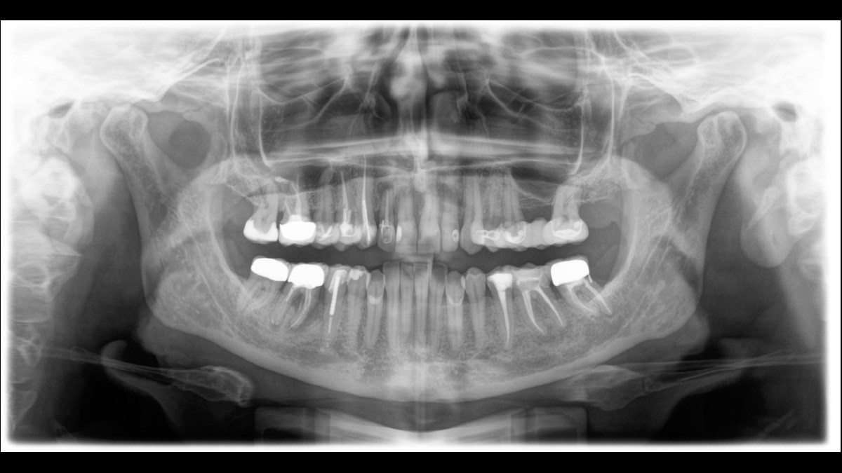
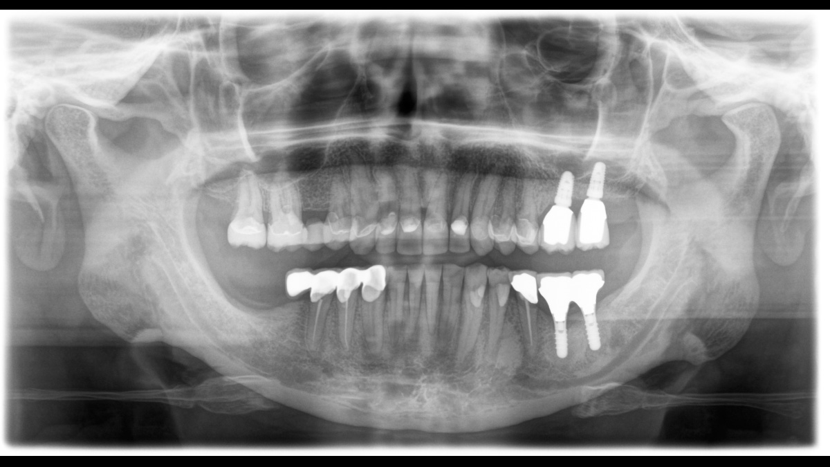
Gallery of Sample 2D Panoramic Images

Volumes for a variety of indications

A broad range of volume sizes to support your various diagnostic and clinical needs from Ø 5 x 5.5 cm to Ø 11 x 10 cm

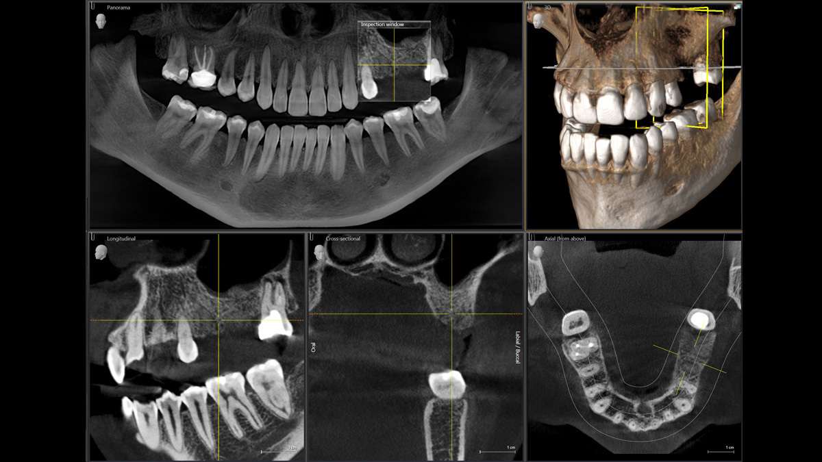
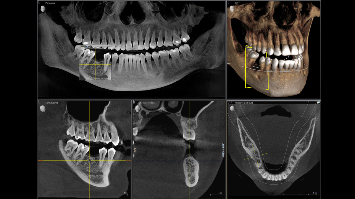
Gallery of Sample 3D Images

Sample Gallery of Cephalometric Images

FAQs

For more details please see Sidexis 4 system requirements.

Dentsply Sirona x-ray units work exclusively with Sidexis 4. Nevertheless data migration from Sidexis XG to Sidexis 4 is very easy. Sidexis 4 allows for the full digital experience with the latest tools

Orthophos S 2D allows a 3D upgrade. Axeos is a dedicated hybrid unit. The Orthophos E does not offer this option.

Contact us

Find out more about the X-ray Solutions from Dentsply Sirona and request information on intraoral X-ray, software or 2D and 3D imaging technology.