Orthophos E from Dentsply Sirona

Benefits

Why Choose the Orthophos E?

Reliable diagnosis

Thanks to the 2D CsI sensor and reliable image quality

Safe and proven patient positioning

With motorized temple and forehead support, automatic temple width measurement, light localizers and built-in handles for positioning stablization

Essential 2D programs

For basic diagnostics in 2D

Ceph images

For optimal diagnostic support in orthodontics a left ceph arm can be ordered or retrofitted at any time

Easy and intuitive operation

With the MultiPad control panel

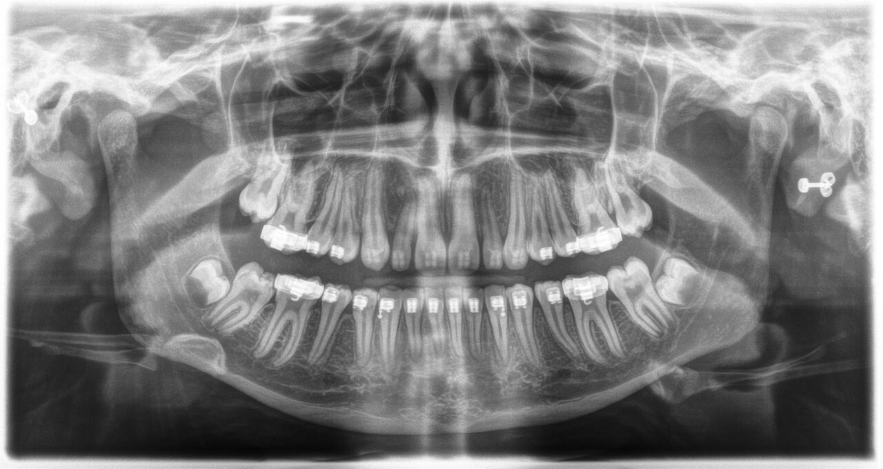
Gallery of Sample 2D Panoramic Images

Sample Gallery of Cephalometric Images

FAQs

For more details please see Sidexis 4 system requirements.

Dentsply Sirona X-ray units work exclusively with Sidexis 4. Nevertheless data migration from Sidexis XG to Sidexis 4 is very easy. Sidexis 4 allows for the full digital experience with the latest tools

Contact us

Find out more about the X-ray Solutions from Dentsply Sirona and request information on intraoral X-ray, software or 2D and 3D imaging technology.